Nhổ răng không đau nhờ thuốc tê Pháp kết hợp kinh nghiệm của Bác sĩ.

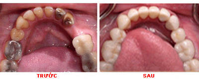
Hàn răng bằng vật liệu composite nha khoa, chất hàn GIC – Fuji (Nhật); vật liệu tương hợp sinh học với tổ chức răng - lợi, không dị ứng, bền chắc, phù hợp với màu răng tương ứng.
Bằng dụng cụ Profil, Protaper dưới sự hỗ trợ của màn hình kỹ thuật số. Đây là kỹ thuật mang tính cách mạng của chữa tủy răng thế kỷ 21.
Với vật liệu tẩy trắng truyền thống của DENSTPLY (Mỹ), 3M (Mỹ) kết hợp với ánh sáng đèn LED sẽ trả lại hàm răng trắng hơn, đẹp hơn.
Thay thế răng mất bằng hàm giả, bằng răng giả gắn chặt với chất liệu nhựa, sứ, sứ toàn phần.
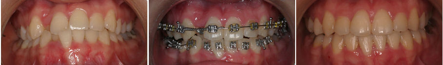
Cải thiện những bất hòa trên mặt do bộ răng hô, móm, lệch lạc với các kỹ thuật nắn chỉnh răng cố đinh bằng mắc cài.
Răng sâu, vỡ, mất răng, răng lệch lạc, đổi màu… Nhờ các kỹ thuật trên bộ răng sẽ được hoàn thiện, trả lại vẻ đẹp tự nhiên.
Thay thế răng mất bằng cách đặt vào trong xương hàm một chân răng nhân tạo bằng TITALIUM; vật liệu tương hợp sinh học với xương hàm. Sau đó gắn răng giả lên trụ răng nhân tạo.